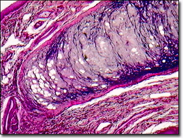
Epiglottis – Elastic Cartilage

The epiglottis is a thin, leaf-shaped flap of tissue in the human throat that prevents food and liquid from entering the larynx and trachea during swallowing. Composed primarily of elastic cartilage, it combines flexibility with structural support, similar to that found in the external ear and auditory tube.
Located behind the tongue and in front of the larynx, the epiglottis remains upright at rest, allowing air to flow freely into the respiratory tract. During swallowing, it folds backward to cover the laryngeal opening, ensuring that food and liquids pass into the esophagus instead of the windpipe. After swallowing, it returns to its resting position to resume normal airflow.
Microscopically, the elastic cartilage core contains chondrocytes and chondroblasts housed within lacunae, embedded in a matrix rich in elastic fibers. Groups of chondrocytes, called isogenous groups, arise from single precursor cell divisions. The surrounding matrix protects the cartilage, while nearby mucous-secreting glands lubricate the epiglottis to facilitate smooth passage of food.
Inflammation of the epiglottis (epiglottitis) can make swallowing and breathing difficult and may be life-threatening. Malfunction can trigger coughing, a reflex expulsion of air and foreign matter to protect the airway.